Kiedy pojawiają się niepokojące objawy, takie jak ból brzucha, nudności czy niewyjaśniona utrata wagi, naturalne jest, że szukamy informacji o potencjalnych przyczynach. Jeśli Twoje obawy dotyczą trzustki, ten artykuł jest dla Ciebie. Przygotowałam szczegółowy przewodnik po badaniach diagnostycznych, które pomogą zrozumieć stan tego ważnego narządu i odpowiedzieć na pytanie, jakie kroki podjąć, aby uzyskać trafną diagnozę.
Kompleksowa diagnostyka trzustki kluczowe badania, które pomogą wykryć schorzenia
- Badania krwi (amylaza, lipaza, morfologia, CRP, OB): Podstawowe testy laboratoryjne, które wskazują na stan zapalny trzustki (zwłaszcza ostre zapalenie) oraz ogólny stan zapalny organizmu.
- Elastaza-1 w kale: Badanie oceniające funkcję zewnątrzwydzielniczą trzustki, kluczowe w diagnostyce przewlekłego zapalenia.
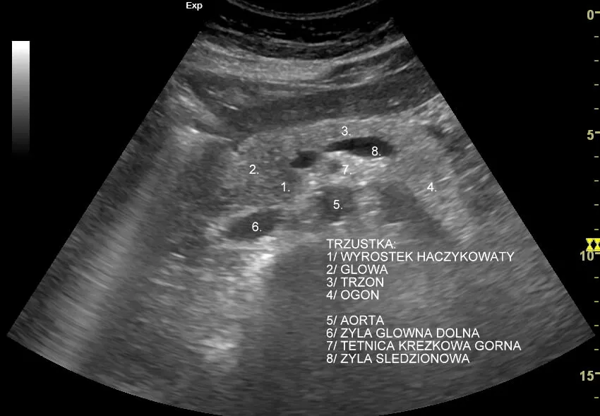
- USG jamy brzusznej: Pierwsze badanie obrazowe, pozwalające na wstępną ocenę wielkości, kształtu i struktury trzustki.
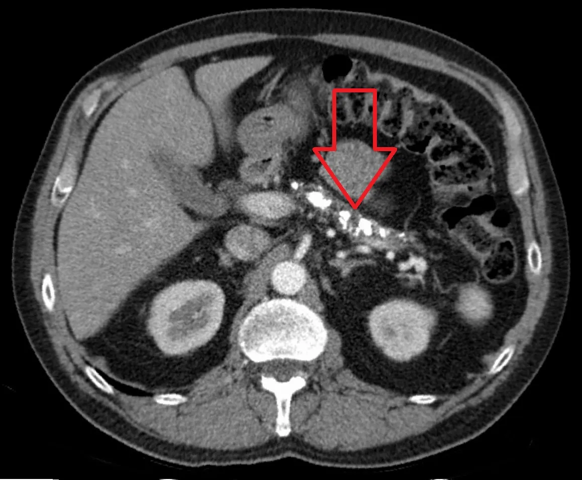
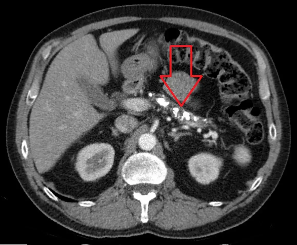
- Tomografia komputerowa (TK) z kontrastem: "Złoty standard" w obrazowaniu trzustki, niezbędny do szczegółowej oceny zmian, zwłaszcza nowotworowych.
- Rezonans magnetyczny (MR, MRCP): Bardzo czułe metody do precyzyjnej oceny trzustki oraz dróg żółciowych i przewodu trzustkowego.
- Ultrasonografia endoskopowa (EUS) i biopsja (EUS-FNA): Zaawansowane techniki pozwalające na dokładne obejrzenie trzustki "z bliska" i pobranie próbek do badania histopatologicznego.
- Markery nowotworowe (CA 19-9): Pomocne w monitorowaniu leczenia raka trzustki, choć ich podwyższony poziom nie zawsze oznacza nowotwór.
Wczesna i trafna diagnostyka chorób trzustki jest absolutnie kluczowa dla zdrowia, a nawet życia. Trzustka to narząd o ogromnym znaczeniu dla trawienia i regulacji poziomu cukru we krwi, a jej schorzenia, takie jak ostre czy przewlekłe zapalenie, mogą prowadzić do poważnych powikłań. Szczególnie groźny jest rak trzustki, który niestety często wykrywany jest w zaawansowanym stadium, co znacząco pogarsza rokowania. Dlatego tak ważne jest, aby nie ignorować żadnych sygnałów wysyłanych przez organizm i jak najszybciej podjąć odpowiednie kroki diagnostyczne.
Choroby trzustkisą różnorodne od nagłych, ostrych stanów zapalnych, przez przewlekłe procesy, aż po nowotwory. Każde z tych schorzeń wymaga nieco innego podejścia diagnostycznego. Na szczęście medycyna oferuje szeroki wachlarz badań, które pozwalają na precyzyjne określenie problemu. Ważne jest, aby pamiętać, że badania te są dostosowywane do konkretnych objawów i podejrzeń, co pozwala na jak najskuteczniejsze wykrycie danego problemu.
Twoja ścieżka diagnostyczna najczęściej rozpoczyna się u lekarza pierwszego kontaktu. To właśnie on, po zebraniu szczegółowego wywiadu i wstępnej ocenie objawów, zdecyduje o zleceniu podstawowych badań laboratoryjnych. Jeśli wyniki tych testów lub utrzymujące się symptomy wzbudzą podejrzenie poważniejszego problemu z trzustką, lekarz rodzinny skieruje Cię do specjalisty, zazwyczaj gastroenterologa, który zaplanuje dalsze, bardziej zaawansowane badania. Nie lekceważ tej pierwszej wizyty to klucz do szybkiego rozpoczęcia diagnostyki.

Badania krwi co mówią o stanie Twojej trzustki?
Kiedy podejrzewam problemy z trzustką, zawsze zaczynam od podstawowych badań krwi. Dwa enzymy odgrywają tu kluczową rolę: amylaza i lipaza. Ich podwyższone poziomy, szczególnie gdy przekraczają normę trzykrotnie, są silnym sygnałem alarmowym i wskazują najczęściej na ostre zapalenie trzustki. Lipaza jest uznawana za bardziej specyficzny marker dla trzustki niż amylaza, co czyni ją niezwykle cenną w diagnostyce.
Oprócz specyficznych enzymów trzustkowych, ogólne wskaźniki stanu zapalnego również dostarczają cennych informacji. Morfologia krwi może wykazać podwyższoną liczbę białych krwinek, co świadczy o toczącym się w organizmie stanie zapalnym. Podobnie, podwyższone stężenie białka C-reaktywnego (CRP) oraz przyspieszony odczyn Biernackiego (OB) są markerami zapalenia, które, choć niespecyficzne dla trzustki, potwierdzają obecność procesu zapalnego i wspierają diagnozę, gdy są skorelowane z innymi objawami i wynikami.
W diagnostyce chorób trzustki nie ograniczamy się tylko do badań bezpośrednio związanych z tym narządem. Zawsze zlecamy również próby wątrobowe, takie jak ALT, AST, bilirubina, oraz poziom glukozy we krwi. Dlaczego? Ponieważ trzustka jest ściśle powiązana z wątrobą i drogami żółciowymi, a jej dysfunkcja może wpływać na ich pracę. Podwyższony poziom glukozy może z kolei wskazywać na zaburzenia funkcji endokrynnej trzustki, czyli jej zdolności do produkcji insuliny, co może być objawem przewlekłego zapalenia lub innych schorzeń.
W przypadku podejrzenia przewlekłego zapalenia trzustki lub niewydolności zewnątrzwydzielniczej, czyli problemów z produkcją enzymów trawiennych, niezbędne jest badanie elastazy-1 w kale. To enzym produkowany wyłącznie przez trzustkę, a jego stężenie w kale odzwierciedla jej zdolność do wydzielania enzymów. Niskie stężenie elastazy-1 jest silnym wskaźnikiem niewydolności zewnątrzwydzielniczej trzustki, co ma ogromne znaczenie dla dalszego leczenia i suplementacji enzymów.

Badania obrazowe jak zajrzeć do wnętrza trzustki?
Kiedy potrzebujemy zajrzeć do wnętrza trzustki, najczęściej zaczynamy od ultrasonografii (USG) jamy brzusznej. To badanie jest szybkie, nieinwazyjne i łatwo dostępne. Pozwala mi ocenić wielkość, kształt i strukturę trzustki, a także wykryć ewentualne zmiany ogniskowe, torbiele czy poszerzenie przewodu trzustkowego. Należy jednak pamiętać, że USG ma swoje ograniczenia gazy jelitowe mogą utrudniać dokładne obrazowanie trzustki, która leży głęboko w jamie brzusznej.
Jeśli USG nie daje jednoznacznych wyników lub podejrzewam poważniejsze schorzenie, takie jak nowotwór, sięgam po tomografię komputerową (TK) jamy brzusznej z kontrastem. To badanie jest uznawane za "złoty standard" w diagnostyce obrazowej trzustki. Dzięki kontrastowi mogę precyzyjnie ocenić zmiany w trzustce, ich unaczynienie, a także ewentualne naciekanie okolicznych tkanek czy obecność przerzutów. TK jest niezastąpiona w ocenie powikłań zapalenia trzustki, takich jak martwica czy zbiorniki płynowe.
Rezonans magnetyczny (MR) oraz cholangiopankreatografia rezonansu magnetycznego (MRCP) to bardzo czułe metody, które wykorzystuję, gdy potrzebuję jeszcze bardziej szczegółowej oceny. MR jest szczególnie przydatny do wizualizacji zmian w miąższu trzustki, a także do oceny torbieli. MRCP natomiast pozwala na nieinwazyjne obrazowanie dróg żółciowych i przewodu trzustkowego, co jest kluczowe w diagnostyce kamicy przewodowej, zwężeń czy anomalii anatomicznych, bez konieczności podawania kontrastu do przewodów.

Zaawansowane metody diagnostyczne kiedy są potrzebne?
W niektórych przypadkach, gdy standardowe badania obrazowe nie dają pełnej odpowiedzi lub potrzebuję bardzo precyzyjnej oceny, sięgam po ultrasonografię endoskopową (EUS). To badanie łączy w sobie zalety endoskopii i USG specjalny endoskop z głowicą ultrasonograficzną wprowadza się do przewodu pokarmowego, co pozwala na bardzo dokładne obejrzenie trzustki "z bliska", z pominięciem przeszkód, takich jak gazy jelitowe. Dzięki temu mogę dostrzec nawet niewielkie zmiany, które byłyby niewidoczne w tradycyjnym USG.
EUS to nie tylko diagnostyka, ale często także możliwość pobrania materiału do badania. Jeśli podczas EUS wykryję podejrzaną zmianę, mogę od razu wykonać biopsję pod kontrolą EUS, czyli EUS-FNA (Fine Needle Aspiration). Za pomocą cienkiej igły, wprowadzonej przez endoskop, pobieram wycinek tkanki lub płyn z podejrzanej zmiany. Materiał ten jest następnie przesyłany do badania histopatologicznego, co pozwala na ostateczne potwierdzenie charakteru zmiany czy jest to stan zapalny, torbiel, czy też nowotwór.
Endoskopowa cholangiopankreatografia wsteczna (ECPW) to kolejna zaawansowana procedura, która jest zarówno diagnostyczna, jak i lecznicza. Polega na wprowadzeniu endoskopu do dwunastnicy i dotarciu do ujścia dróg żółciowych i przewodu trzustkowego. Następnie, po podaniu kontrastu, wykonuje się zdjęcia rentgenowskie, aby uwidocznić ewentualne patologie. ECPW pozwala nie tylko zdiagnozować, ale również od razu interweniować na przykład usunąć złogi (kamienie) z przewodów żółciowych lub trzustkowych, poszerzyć zwężenia, czy założyć protezę, co jest kluczowe w przypadku niedrożności.
Markery nowotworowe czy CA 19-9 zawsze oznacza raka trzustki?
Antygen CA 19-9 to jeden z markerów nowotworowych, który jest często wykorzystywany w diagnostyce raka trzustki. Jest to białko produkowane przez komórki nowotworowe, a jego podwyższone stężenie we krwi może sugerować obecność guza. Należy jednak pamiętać, że CA 19-9 nie jest idealnym markerem przesiewowym. U części populacji (około 5-10%) ten antygen w ogóle nie jest produkowany, co oznacza, że nawet w obecności raka trzustki, jego poziom może być prawidłowy. Dlatego nigdy nie opieram diagnozy wyłącznie na tym jednym badaniu.
Co więcej, podwyższone stężenie markera CA 19-9 nie zawsze oznacza nowotwór. Wiem z doświadczenia, że jego poziom może wzrosnąć również w przebiegu innych schorzeń, takich jak ostre lub przewlekłe zapalenie trzustki, zapalenie dróg żółciowych, kamica żółciowa, a nawet niektóre choroby wątroby. Z tego powodu CA 19-9 jest traktowany jako marker pomocniczy, a nie rozstrzygający. Zawsze interpretuję jego wyniki w kontekście pełnego obrazu klinicznego pacjenta i wyników innych badań.
Mimo swoich ograniczeń, marker CA 19-9 ma swoje ważne zastosowanie. Jest szczególnie przydatny do monitorowania skuteczności leczenia raka trzustki. Jeśli po operacji lub chemioterapii poziom CA 19-9 spada, świadczy to o pozytywnej odpowiedzi na leczenie. Z kolei wzrost jego stężenia po okresie stabilizacji może sygnalizować wznowę choroby lub progresję nowotworu. Regularne oznaczanie tego markera pozwala mi na bieżąco oceniać stan pacjenta i w razie potrzeby modyfikować terapię.
Twoja ścieżka diagnostyczna od objawów do pewnej diagnozy
Zrozumienie procesu diagnostycznego może pomóc Ci poczuć się pewniej na tej drodze. Oto typowa ścieżka, którą podążamy, aby postawić trafną diagnozę chorób trzustki:
- Pierwsze objawy i wizyta u lekarza rodzinnego: Zaczyna się od Twoich dolegliwości bólu brzucha, nudności, utraty wagi. Lekarz rodzinny zbiera wywiad, ocenia objawy i zleca podstawowe badania.
- Podstawowe badania laboratoryjne: To morfologia krwi, CRP, OB, amylaza i lipaza we krwi, a także próby wątrobowe i poziom glukozy. Te testy dają wstępny obraz stanu zapalnego i funkcji trzustki.
- Badanie elastazy-1 w kale: Jeśli podejrzewamy przewlekłe zapalenie trzustki i niewydolność zewnątrzwydzielniczą, to badanie jest kluczowe.
- Pierwsze badania obrazowe USG jamy brzusznej: To szybkie i nieinwazyjne badanie, które pozwala na wstępną ocenę trzustki.
- Zaawansowane badania obrazowe TK lub MR/MRCP: W przypadku niejasnych wyników USG, podejrzenia nowotworu lub powikłań zapalenia, sięgamy po tomografię komputerową lub rezonans magnetyczny, które dają znacznie dokładniejszy obraz.
- Konsultacja specjalistyczna: Z wynikami wszystkich badań trafiasz do gastroenterologa, który ocenia całościowy obraz i planuje dalsze kroki.
- Zaawansowane metody diagnostyczne EUS i biopsja: Jeśli potrzebna jest bardzo precyzyjna ocena zmian lub pobranie próbki do badania histopatologicznego, wykonujemy ultrasonografię endoskopową, często połączoną z biopsją.
- ECPW (w razie potrzeby): W przypadku niedrożności przewodów żółciowych lub trzustkowych, ECPW może być zarówno badaniem diagnostycznym, jak i zabiegiem leczniczym.
- Markery nowotworowe (CA 19-9): Wykorzystywane głównie do monitorowania leczenia i wykrywania wznowy, a nie jako samodzielne narzędzie diagnostyczne.
Chcę podkreślić, jak ważne jest, aby nie próbować samodzielnie diagnozować się na podstawie informacji znalezionych w internecie. Każdy przypadek jest inny, a wyniki badań muszą być interpretowane przez doświadczonego lekarza w kontekście Twojego stanu zdrowia, objawów i historii medycznej. Samodzielna interpretacja wyników może prowadzić do niepotrzebnego stresu lub, co gorsza, do zaniechania właściwego leczenia.
Pamiętaj, że kluczem do sukcesu w walce z chorobami trzustki jest szybka reakcja na niepokojące objawy i pełne zaufanie do profesjonalnej opieki medycznej. Współczesna diagnostyka oferuje wiele narzędzi, które pozwalają na precyzyjne określenie problemu. Nie wahaj się szukać pomocy i podążać za zaleceniami lekarzy to najlepsza droga do odzyskania zdrowia i spokoju.
