W obliczu problemów ze zdrowiem psychicznym naturalne jest poszukiwanie wszelkich dostępnych narzędzi diagnostycznych. Wiele osób zastanawia się, czy rezonans magnetyczny głowy (MRI) może "wykryć" choroby psychiczne, oferując jasną i jednoznaczną odpowiedź. Ten artykuł ma na celu rozwiać mity i przedstawić złożoną, ale fascynującą rolę MRI w diagnostyce zaburzeń psychicznych, wyjaśniając, co naprawdę możemy zobaczyć na obrazach mózgu i dlaczego warto zrozumieć jego ograniczenia oraz potencjał.
Rezonans magnetyczny głowy: Narzędzie do wykluczania organicznych przyczyn objawów psychicznych, nie bezpośredniej diagnozy
- Rezonans magnetyczny (MRI) nie służy do bezpośredniego diagnozowania większości chorób psychicznych.
- Jego kluczową rolą jest wykluczenie organicznych przyczyn objawów psychicznych, takich jak guzy mózgu, udary czy stwardnienie rozsiane.
- Badania naukowe wskazują na korelacje między zaburzeniami (np. schizofrenia, depresja, ADHD) a subtelnymi zmianami w strukturze i funkcjonowaniu mózgu.
- Zmiany te są obserwacjami statystycznymi w grupach badawczych i nie stanowią jednoznacznych markerów diagnostycznych w codziennej praktyce klinicznej.
- Psychiatra zleca MRI, gdy objawy pacjenta są nietypowe, mają nagły początek lub sugerują podłoże neurologiczne.
- Przyszłość neuroobrazowania w psychiatrii wiąże się z analizą danych za pomocą sztucznej inteligencji i medycyny precyzyjnej.
Rezonans magnetyczny: Okno do naszej psychiki czy narzędzie diagnostyczne?
Co naprawdę widzi lekarz na obrazie MRI Twojej głowy?
Rezonans magnetyczny głowy to niezwykle precyzyjna technika obrazowania, która wykorzystuje silne pole magnetyczne i fale radiowe do tworzenia szczegółowych obrazów struktur anatomicznych mózgu. Na obrazach MRI lekarz jest w stanie zwizualizować z wysoką dokładnością tkanki miękkie, naczynia krwionośne, płyn mózgowo-rdzeniowy oraz wszelkie zmiany strukturalne, takie jak guzy, torbiele, obszary uszkodzeń po udarach czy ogniska demielinizacyjne. Ważne jest, aby zrozumieć, że MRI pokazuje nam fizyczną architekturę mózgu. Nie jest to jednak narzędzie, które bezpośrednio "widzi" nasze myśli, emocje, wspomnienia czy samą chorobę psychiczną w sensie jej psychologicznego podłoża. Widzimy natomiast zmiany strukturalne, które mogą być z nimi skorelowane.Dlaczego psychiatra może skierować Cię na rezonans? Kluczowa rola diagnostyki różnicowej
Głównym powodem, dla którego psychiatra może zlecić rezonans magnetyczny głowy, jest diagnostyka różnicowa. Oznacza to, że celem badania jest wykluczenie organicznych, czyli fizycznych przyczyn objawów psychicznych, które mogą łudząco przypominać zaburzenia psychiczne. W mojej praktyce często spotykam się z sytuacjami, gdzie pacjent zgłasza objawy takie jak zmiany nastroju, problemy z pamięcią czy zaburzenia osobowości, które na pierwszy rzut oka sugerują chorobę psychiczną. Jednakże, bez wykluczenia podłoża neurologicznego, diagnoza psychiatryczna może być niepełna lub błędna. MRI pozwala nam upewnić się, że objawy nie są spowodowane przez:
- Guzy mózgu i inne zmiany rozrostowe
- Zmiany naczyniowe (np. tętniaki, malformacje naczyniowe, zmiany po udarach)
- Stany zapalne (np. zapalenie mózgu)
- Krwiaki śródczaszkowe
- Stwardnienie rozsiane (SM)
- Wodogłowie
Mit kontra fakt: Czy skan MRI jednoznacznie potwierdzi chorobę psychiczną?
Tutaj muszę być bardzo stanowcza: nie, skan MRI zazwyczaj nie jest narzędziem do jednoznacznego potwierdzania większości chorób psychicznych. W przeciwieństwie do złamania kości czy guza, które są wyraźnie widoczne na obrazie, zaburzenia psychiczne, takie jak depresja, schizofrenia czy zaburzenia lękowe, nie mają "markera" w postaci konkretnej, łatwo rozpoznawalnej zmiany strukturalnej, która byłaby widoczna w rutynowym badaniu MRI i stanowiła podstawę do postawienia diagnozy. Rezonans magnetyczny jest narzędziem pomocniczym, niezwykle cennym w procesie diagnostycznym, ale nie jest ostateczną wyrocznią. Diagnoza psychiatryczna opiera się przede wszystkim na wywiadzie klinicznym, obserwacji objawów i kryteriach diagnostycznych.

Rezonans w walce z organicznymi przyczynami objawów psychicznych: Co wyklucza MRI?
Guzy mózgu i tętniaki kiedy objawy psychiatryczne to tylko "maska"
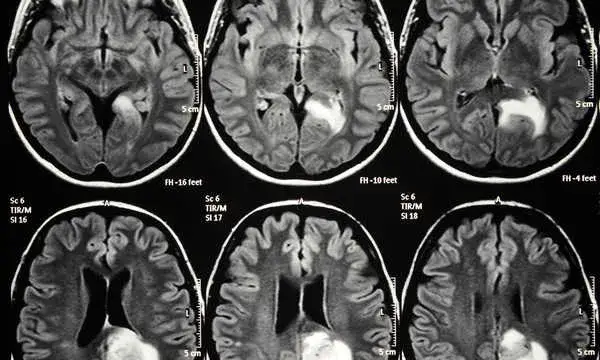
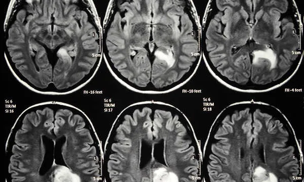
Guzy mózgu, w zależności od ich lokalizacji i rozmiaru, mogą manifestować się bardzo różnorodnymi objawami, często mylonymi z zaburzeniami psychicznymi. Pacjenci mogą doświadczać nagłych zmian osobowości, nastroju, funkcji poznawczych (np. problemy z pamięcią, koncentracją), a nawet psychoz, gdy guz uciska lub uszkadza kluczowe obszary mózgu. Podobnie tętniaki, choć często bezobjawowe, mogą, w przypadku pęknięcia lub ucisku na struktury nerwowe, wywoływać nagłe i dramatyczne zmiany w zachowaniu lub funkcjonowaniu poznawczym. W takich przypadkach MRI jest niezastąpione. Jego wysoka rozdzielczość pozwala na precyzyjne wykrycie nawet niewielkich zmian rozrostowych czy naczyniowych, co jest kluczowe dla szybkiej interwencji medycznej i ratowania życia pacjenta.
Stwardnienie rozsiane (SM) a zaburzenia nastroju: Co wykaże MRI?
Stwardnienie rozsiane (SM) to przewlekła choroba autoimmunologiczna, która atakuje osłonki mielinowe nerwów w mózgu i rdzeniu kręgowym. Charakterystyczne dla SM zmiany demielinizacyjne są doskonale widoczne w badaniu MRI jako ogniska zapalne lub blizny. Co ciekawe, SM często idzie w parze z objawami psychiatrycznymi. Wielu pacjentów doświadcza depresji, lęku, zaburzeń nastroju, a także problemów poznawczych, takich jak trudności z koncentracją czy przetwarzaniem informacji. MRI jest złotym standardem w diagnozowaniu SM, pozwalając na wizualizację tych zmian i odróżnienie ich od innych schorzeń, a tym samym na wdrożenie odpowiedniego leczenia neurologicznego, które często poprawia również samopoczucie psychiczne.
Zmiany poudarowe i naczyniowe cisi winowajcy problemów psychicznych
Udary mózgu, nawet te "nieme", czyli przebiegające bez wyraźnych objawów neurologicznych, mogą pozostawić trwałe ślady w mózgu. Podobnie przewlekłe zmiany naczyniowe, wynikające np. z miażdżycy czy nadciśnienia, prowadzące do niedokrwienia mózgu, mogą być przyczyną powolnego, ale postępującego pogorszenia funkcji poznawczych, depresji, apatii, drażliwości czy innych objawów psychicznych. MRI jest niezwykle skuteczne w wizualizacji tych zmian. Pozwala na ocenę rozległości uszkodzeń po udarze, identyfikację obszarów niedokrwienia oraz ocenę stanu naczyń krwionośnych. Wykrycie takich zmian jest kluczowe, ponieważ objawy psychiczne mogą być pierwszym sygnałem problemów naczyniowych, które wymagają leczenia neurologicznego, a nie wyłącznie psychiatrycznego.

Ślady schizofrenii w obrazie mózgu: Co mówią badania naukowe?
Zmniejszona objętość istoty szarej: Gdzie mózg pacjenta wygląda inaczej?
Badania naukowe z wykorzystaniem MRI dostarczyły fascynujących, choć subtelnych, wskazówek dotyczących zmian w mózgu osób ze schizofrenią. Jedną z najczęściej obserwowanych anomalii jest zmniejszenie objętości istoty szarej w różnych obszarach mózgu. Dotyczy to szczególnie takich struktur jak hipokamp (kluczowy dla pamięci i emocji), ciało migdałowate (odpowiedzialne za przetwarzanie strachu i innych emocji) oraz płaty skroniowe. Te zmiany mogą wpływać na sposób przetwarzania informacji, emocji i percepcji, co koreluje z objawami schizofrenii. Należy jednak podkreślić, że są to wyniki badań grupowych, a nie indywidualne markery diagnostyczne. Oznacza to, że nie każdy pacjent ze schizofrenią będzie miał identyczne zmiany, a sama obecność tych zmian nie wystarcza do postawienia diagnozy.
Problem z "okablowaniem"? Zmiany w istocie białej a łączność neuronalna
Istota biała w mózgu składa się z włókien nerwowych pokrytych mieliną, które tworzą "okablowanie" łączące różne obszary istoty szarej. Odpowiada za efektywną komunikację między neuronami. Badania MRI u osób ze schizofrenią często ujawniają zmiany w strukturze i integralności istoty białej, co może wskazywać na problemy z łącznością neuronalną. Te zaburzenia w "okablowaniu" mogą prowadzić do nieprawidłowego przepływu informacji w mózgu, co z kolei może przyczyniać się do dezorganizacji myślenia, zaburzeń percepcji i innych objawów charakterystycznych dla schizofrenii. Analiza tych zmian wymaga zaawansowanych technik MRI, takich jak obrazowanie tensora dyfuzji (DTI).
Powiększone komory mózgu czy to stały marker choroby?
Inną obserwacją, która pojawia się w badaniach nad schizofrenią, jest powiększenie komór bocznych mózgu. Komory to przestrzenie wypełnione płynem mózgowo-rdzeniowym. Ich powiększenie może być pośrednim wskaźnikiem zmniejszenia objętości tkanki mózgowej otaczającej komory. Chociaż jest to często obserwowane u pacjentów ze schizofrenią, nie jest to stałe odkrycie i nie występuje u wszystkich. Co więcej, powiększenie komór może być również związane z innymi schorzeniami neurologicznymi lub być cechą indywidualną. Z tego powodu, choć interesujące z punktu widzenia badań, samo powiększenie komór nie jest wystarczającym ani jednoznacznym markerem diagnostycznym schizofrenii w codziennej praktyce klinicznej.
Depresja i lęk pod lupą rezonansu magnetycznego
Hipokamp i ciało migdałowate: Jak stres i depresja zmieniają architekturę mózgu?
Hipokamp i ciało migdałowate to dwie kluczowe struktury w układzie limbicznym, które odgrywają fundamentalną rolę w przetwarzaniu emocji, pamięci i reakcji na stres. Hipokamp jest zaangażowany w uczenie się i pamięć, a także regulację nastroju, natomiast ciało migdałowate jest centrum przetwarzania strachu i innych silnych emocji. Badania MRI wykazały, że przewlekły stres i ciężka depresja mogą prowadzić do zmian objętościowych w tych strukturach. Często obserwuje się zmniejszenie objętości hipokampa u osób z długotrwałą depresją, co może być związane z utratą neuronów lub zmniejszeniem ich plastyczności. Z kolei w zaburzeniach lękowych, zwłaszcza w zespole stresu pourazowego (PTSD), często stwierdza się nadaktywność ciała migdałowatego. Te odkrycia podkreślają neurobiologiczne podłoże tych zaburzeń i pokazują, jak doświadczenia życiowe mogą dosłownie "rzeźbić" nasz mózg.
Funkcjonalne MRI (fMRI): Obrazowanie aktywności mózgu w czasie rzeczywistym
Oprócz strukturalnego MRI, które pokazuje nam anatomię mózgu, istnieje również funkcjonalny rezonans magnetyczny (fMRI). Ta technika pozwala na obrazowanie aktywności mózgu w czasie rzeczywistym poprzez wykrywanie zmian w przepływie krwi bogatej w tlen. Aktywne obszary mózgu zużywają więcej tlenu, co fMRI jest w stanie zarejestrować. Dzięki temu możemy obserwować, które obszary mózgu są bardziej aktywne podczas wykonywania określonych zadań, myślenia czy przeżywania emocji. W kontekście depresji i lęku, fMRI dostarczyło wielu cennych informacji:
- Depresja: Obserwuje się zmiany w aktywności sieci neuronalnych, zwłaszcza w korze przedczołowej (odpowiedzialnej za planowanie, podejmowanie decyzji i regulację emocji) oraz w układzie limbicznym. Często widoczna jest zmniejszona aktywność w obszarach związanych z pozytywnymi emocjami i nagrodą, a zwiększona w obszarach przetwarzających negatywne emocje.
- Zaburzenia lękowe: Badania fMRI często wskazują na nadaktywność ciała migdałowatego oraz nieprawidłową komunikację między ciałem migdałowatym a korą przedczołową, co może prowadzić do trudności w regulacji strachu i lęku.
Co MRI mówi o ryzyku nawrotu depresji i skuteczności leczenia?
Współczesne badania naukowe coraz częściej wykorzystują MRI do poszukiwania biomarkerów, które mogłyby przewidywać odpowiedź na leczenie lub ryzyko nawrotu depresji. Na przykład, pewne wzorce aktywności w fMRI lub subtelne zmiany w strukturze istoty białej, analizowane za pomocą zaawansowanych technik takich jak "kodowanie dyfuzyjności wewnętrznej spinów", mogą wskazywać, którzy pacjenci lepiej zareagują na konkretne leki antydepresyjne lub psychoterapię. Chociaż te badania są wciąż na wczesnym etapie i nie są rutynowo stosowane w praktyce klinicznej, dają nadzieję na rozwój spersonalizowanej medycyny w psychiatrii, gdzie leczenie będzie dobierane indywidualnie do profilu neurobiologicznego pacjenta.

ADHD: Jak obrazowanie mózgu potwierdza neurobiologiczne podłoże zaburzenia?
Mniejsza objętość kluczowych struktur: Które obszary mózgu rozwijają się inaczej?
Badania strukturalne MRI u osób z ADHD konsekwentnie wykazują pewne różnice w objętości kluczowych struktur mózgu w porównaniu do osób bez tego zaburzenia. Obserwuje się mniejszą objętość całkowitą mózgu, a także specyficzne zmniejszenie objętości w rejonach takich jak:
- Jądra podstawy (zwłaszcza gałka blada i skorupa): Odgrywają kluczową rolę w kontroli ruchów, uczeniu się i przetwarzaniu nagród. Ich odmienny rozwój może wpływać na impulsywność i trudności z hamowaniem reakcji.
- Wzgórze: Stacja przekaźnikowa dla informacji sensorycznych i motorycznych, zaangażowana w uwagę i czujność.
- Móżdżek: Odpowiada za koordynację ruchową, ale także za funkcje poznawcze, takie jak uwaga, planowanie i pamięć robocza.
Te zmiany korelują z typowymi objawami ADHD, takimi jak problemy z koncentracją, impulsywność i nadruchliwość, potwierdzając neurobiologiczne podłoże tego zaburzenia. Ważne jest, aby pamiętać, że są to różnice statystyczne, a nie absolutne markery diagnostyczne.
Opóźnione dojrzewanie kory przedczołowej a problemy z koncentracją i impulsywnością
Kora przedczołowa to obszar mózgu odpowiedzialny za tzw. funkcje wykonawcze, czyli zdolności takie jak uwaga, planowanie, organizacja, kontrola impulsów, pamięć robocza i regulacja emocji. Jest to jeden z najpóźniej dojrzewających obszarów mózgu, a jego pełne ukształtowanie następuje dopiero w wieku dorosłym. Badania MRI u osób z ADHD często wskazują na opóźnione dojrzewanie kory przedczołowej. Oznacza to, że rozwija się ona wolniej niż u rówieśników bez ADHD. To opóźnienie jest silnie skorelowane z typowymi objawami ADHD, takimi jak trudności z utrzymaniem uwagi, impulsywność i problemy z samokontrolą. Zrozumienie tego aspektu jest kluczowe dla opracowania skutecznych strategii terapeutycznych i edukacyjnych.
Czy obraz MRI u dziecka z ADHD różni się od obrazu osoby dorosłej?
Tak, istnieją pewne różnice rozwojowe w wynikach MRI dla ADHD między dziećmi a dorosłymi, co dodatkowo wzmacnia ideę opóźnionego dojrzewania. U dzieci z ADHD różnice w objętości struktur mózgu są zazwyczaj bardziej wyraźne. Wraz z wiekiem, w procesie dojrzewania, mózg osób z ADHD może częściowo "dogonić" rozwój mózgu rówieśników, co jest zgodne z obserwacją, że u wielu osób objawy ADHD mogą się łagodzić w dorosłości. Jednakże, nawet u dorosłych z ADHD, subtelne różnice w strukturze i funkcjonowaniu mózgu mogą nadal być widoczne. Te obserwacje podkreślają dynamiczny charakter rozwoju mózgu i wpływ ADHD na ten proces na różnych etapach życia.
Jaka jest przyszłość neuroobrazowania w psychiatrii?
Sztuczna inteligencja (AI) w analizie obrazów MRI: Szansa na przełom?
Przyszłość neuroobrazowania w psychiatrii wydaje się niezwykle obiecująca, a kluczową rolę w tym rozwoju odgrywa sztuczna inteligencja (AI). Tradycyjna analiza obrazów MRI jest czasochłonna i wymaga doświadczenia radiologa. AI, dzięki algorytmom uczenia maszynowego, jest w stanie przetwarzać ogromne ilości danych z MRI, identyfikując subtelne wzorce i korelacje, które są niewidoczne dla ludzkiego oka. Może to potencjalnie wspomagać wcześniejsze wykrywanie lub bardziej precyzyjną charakterystykę zmian mózgowych związanych ze zdrowiem psychicznym. Wyobraźmy sobie system, który analizuje setki parametrów z obrazu MRI i wskazuje na zwiększone ryzyko rozwoju konkretnego zaburzenia, zanim pojawią się pełnoobjawowe symptomy. To otwiera drogę do interwencji prewencyjnych i bardziej skutecznego leczenia.
Ku medycynie precyzyjnej: Czy MRI pomoże w doborze spersonalizowanej terapii?
Jednym z największych wyzwań w psychiatrii jest brak możliwości przewidzenia, który pacjent zareaguje na którą terapię. Leczenie często odbywa się metodą prób i błędów, co jest frustrujące i czasochłonne dla pacjentów. Tutaj również MRI ma ogromny potencjał. Poprzez identyfikację specyficznych cech mózgu (tzw. biomarkery neuroobrazowe), które mogą przewidywać odpowiedź na określone leki, psychoterapię czy techniki neuromodulacji (np. TMS), MRI może stać się narzędziem kierującym spersonalizowanymi strategiami leczenia. Jeśli będziemy w stanie zidentyfikować, na przykład, wzorzec aktywności mózgu, który wskazuje na lepszą odpowiedź na konkretny antydepresant, możemy uniknąć niepotrzebnych prób i błędów, znacząco poprawiając efektywność terapii i jakość życia pacjentów. To jest prawdziwy krok w kierunku medycyny precyzyjnej w psychiatrii.
Przeczytaj również: Parkinson: Objawy psychiczne klucz do zrozumienia i wsparcia?
Podsumowanie: Rezonans magnetyczny jako potężne narzędzie wspierające, a nie ostateczna wyrocznia
Podsumowując, rezonans magnetyczny głowy jest bez wątpienia potężnym i niezastąpionym narzędziem w medycynie, również w kontekście zdrowia psychicznego. Jego główna wartość w psychiatrii polega na wykluczaniu organicznych przyczyn objawów psychicznych, co jest absolutnie kluczowe dla prawidłowej diagnozy i bezpieczeństwa pacjenta. Chociaż badania naukowe dostarczają coraz więcej dowodów na istnienie subtelnych zmian w mózgu związanych z różnymi zaburzeniami psychicznymi, należy pamiętać, że w codziennej praktyce klinicznej MRI nie jest narzędziem do stawiania ostatecznej diagnozy psychiatrycznej. Jest to raczej cenny element układanki diagnostycznej, który w połączeniu z wywiadem klinicznym, obserwacją i innymi badaniami, pomaga psychiatrom w postawieniu trafnej diagnozy i zaplanowaniu skutecznego leczenia. Przyszłość, z rozwojem AI i medycyny precyzyjnej, z pewnością przyniesie jeszcze większe możliwości wykorzystania neuroobrazowania w zrozumieniu i leczeniu chorób psychicznych.
