Wiele kobiet, podejrzewając ciążę, zastanawia się, czy wizyta u ginekologa w "pierwszym tygodniu" po stosunku ma sens. To bardzo częste pytanie, które wynika z naturalnej chęci szybkiego potwierdzenia radosnej nowiny, ale też z pewnych nieporozumień dotyczących tego, jak liczymy wiek ciąży. W tym artykule, jako Kaja Adamczyk, rozwieję wszelkie wątpliwości i wyjaśnię, kiedy i w jaki sposób medycyna jest w stanie potwierdzić ciążę, obalając mity związane z ultra-wczesną diagnostyką.
Ciąża w pierwszym tygodniu: Ginekolog nie potwierdzi, ale są inne metody wczesnej diagnostyki
- Medycznie, "pierwszy tydzień ciąży" liczy się od ostatniej miesiączki, czyli zanim doszło do zapłodnienia.
- Tydzień po zapłodnieniu (ok. 3. tydzień ciąży medycznie) ginekolog nie stwierdzi ciąży ani badaniem, ani USG.
- Najwcześniejszą i najpewniejszą metodą jest badanie krwi na obecność hormonu beta-hCG, wykrywalne 7-10 dni po zapłodnieniu.
- Domowe testy ciążowe są wiarygodne od dnia spodziewanej miesiączki.
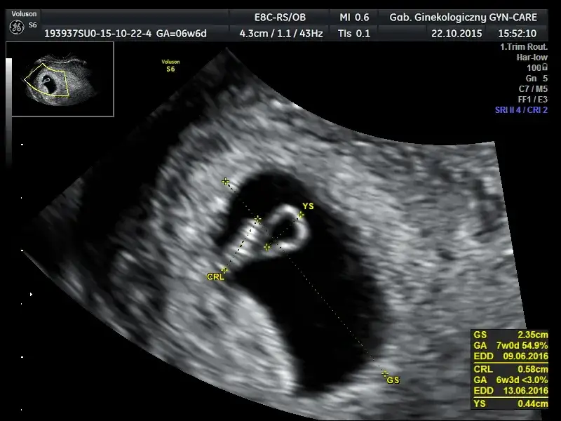
- Pęcherzyk ciążowy widoczny jest na USG najwcześniej na przełomie 4. i 5. tygodnia ciąży (2-3 tygodnie po zapłodnieniu).
- Optymalny czas na pierwszą wizytę u ginekologa to 6.-8. tydzień ciąży, licząc od ostatniej miesiączki.
Pierwszy tydzień ciąży: wyjaśniamy, dlaczego to pojęcie bywa mylące
Kiedy mówimy o tygodniach ciąży, bardzo często pojawia się pewne nieporozumienie. Ja, jako ginekolog, zawsze liczę wiek ciąży od pierwszego dnia ostatniej miesiączki. Oznacza to, że jeśli masz regularne cykle, owulacja następuje około 14. dnia cyklu, a zapłodnienie dopiero po niej. Zatem, kiedy mówimy o "pierwszym tygodniu ciąży" w terminologii medycznej, tak naprawdę mówimy o tygodniu, w którym kobieta miała miesiączkę czyli jeszcze przed zapłodnieniem.
Dlatego też, kiedy pacjentki mówią o "pierwszym tygodniu ciąży" mając na myśli tydzień po zapłodnieniu, musimy doprecyzować, że medycznie jest to już mniej więcej trzeci tydzień ciąży. W tym czasie, czyli około 7 dni po zapłodnieniu, dochodzi do implantacji zarodka w ścianie macicy. To kluczowa różnica, która wpływa na to, co i kiedy możemy faktycznie wykryć.
Czy wizyta u ginekologa tydzień po stosunku ma sens? Co może wykryć lekarz?
Wizyta u ginekologa tydzień po stosunku, nawet jeśli był to stosunek, po którym doszło do zapłodnienia, nie pozwoli na potwierdzenie ciąży za pomocą standardowego badania ginekologicznego. Podczas badania palpacyjnego (dotykowego) lekarz nie stwierdzi żadnych zmian w macicy czy szyjce macicy, które mogłyby wskazywać na ciążę. Macica jest wciąż w swoim normalnym rozmiarze, a jej konsystencja nie uległa jeszcze zmianom. Na tak wczesnym etapie, czyli tydzień po zapłodnieniu, zarodek jest jeszcze mikroskopijny. Ma zaledwie kilka milimetrów i jest niewidoczny gołym okiem, a tym bardziej niewyczuwalny podczas badania. Ani badanie ginekologiczne, ani nawet badanie ultrasonograficzne (USG) nie jest w stanie wizualnie potwierdzić ciąży w tym czasie. Próba "szukania" ciąży na tym etapie może jedynie prowadzić do niepotrzebnego stresu i frustracji.

Najwcześniejsze i najpewniejsze metody potwierdzenia ciąży
Jeśli zależy Ci na jak najwcześniejszym i najpewniejszym potwierdzeniu ciąży, to badanie krwi na obecność podjednostki beta gonadotropiny kosmówkowej (beta-hCG) jest "złotym standardem". Hormon hCG jest produkowany przez zarodek krótko po zagnieżdżeniu się w macicy i jest to pierwszy sygnał, jaki nasze ciało wysyła, informując o ciąży.
Hormon hCG jest wykrywalny we krwi najwcześniej około 7-10 dni po zapłodnieniu. To właśnie wtedy poziom beta-hCG zaczyna wzrastać. Co ważne, we wczesnej, prawidłowo rozwijającej się ciąży, stężenie tego hormonu powinno podwajać się mniej więcej co 48-72 godziny. Monitorowanie dynamiki wzrostu beta-hCG jest bardzo cenną informacją dla lekarza i pozwala ocenić, czy ciąża rozwija się prawidłowo.
Domowe testy ciążowe, które kupisz w aptece, działają na podobnej zasadzie wykrywają obecność hormonu hCG, ale w moczu. Ich wiarygodność jest najwyższa od dnia spodziewanej miesiączki lub kilka dni później. Chociaż na rynku dostępne są testy o wyższej czułości, które obiecują wykrycie ciąży jeszcze przed terminem miesiączki, zawsze zalecam poczekać do tego dnia. Zbyt wczesne wykonanie testu może dać wynik fałszywie negatywny, co niepotrzebnie budzi rozczarowanie.

Kiedy ginekolog faktycznie "zobaczy" ciążę? Rola badania USG
Badanie ultrasonograficzne dopochwowe jest podstawowym narzędziem, które pozwala ginekologowi wizualnie potwierdzić ciążę, ocenić jej lokalizację i wstępnie wiek. Jednak, podobnie jak w przypadku badania palpacyjnego, zbyt wczesne wykonanie USG nie przyniesie jednoznacznych odpowiedzi i może prowadzić do niepotrzebnego stresu.
Oto, czego możemy spodziewać się na ekranie ultrasonografu w kolejnych tygodniach ciąży (licząc od pierwszego dnia ostatniej miesiączki):
- Na przełomie 4. i 5. tygodnia ciąży (czyli około 2-3 tygodnie po zapłodnieniu) zazwyczaj widoczny jest w jamie macicy mały, ciemny pęcherzyk ciążowy.
- Około 6. tygodnia ciąży w pęcherzyku ciążowym powinien być już widoczny zarodek oraz, co najważniejsze, jego bijące echo serca. To jest ten moment, kiedy możemy z całą pewnością potwierdzić żywą ciążę.
- W pierwszym tygodniu po zapłodnieniu (czyli około 3. tygodnia ciąży medycznie) USG nie pokaże nic poza ewentualnym pogrubionym endometrium, które jest naturalną reakcją macicy na przygotowanie do ciąży, ale nie jest jej dowodem.
Zbyt wczesne wykonanie badania USG, zanim pęcherzyk ciążowy czy zarodek są widoczne, może prowadzić do niepotrzebnego stresu i niepewności. Pacjentka może martwić się, że ciąży nie ma lub że rozwija się nieprawidłowo, podczas gdy po prostu jest jeszcze za wcześnie na wizualne potwierdzenie. Dlatego zawsze zalecam cierpliwość i poczekanie na odpowiedni moment.
Subtelne sygnały wysyłane przez ciało: Czy można "czuć" ciążę w pierwszym tygodniu?
Wiele kobiet w nadziei na ciążę bardzo uważnie obserwuje swoje ciało. W pierwszym tygodniu po zapłodnieniu, czyli około 3. tygodnia ciąży medycznie, niektóre kobiety mogą doświadczać bardzo subtelnych objawów. Jednym z nich jest plamienie implantacyjne delikatne, różowe lub brązowe plamienie, które pojawia się, gdy zarodek zagnieżdża się w macicy. Może mu towarzyszyć delikatne, skurczowe pobolewanie w podbrzuszu. Pamiętajmy jednak, że nie każda kobieta doświadcza plamienia implantacyjnego, a samo plamienie może mieć wiele innych przyczyn.
Inne wczesne objawy, które mogą, ale nie muszą pojawić się w tym czasie, to zwiększone zmęczenie, wzdęcia, tkliwość piersi czy częstsze oddawanie moczu. Problem polega na tym, że te sygnały są bardzo łatwe do pomylenia z objawami zespołu napięcia przedmiesiączkowego (PMS) lub po prostu ze zwykłym złym samopoczuciem. To sprawia, że samodzielna diagnoza ciąży na tak wczesnym etapie jest niezwykle trudna i często prowadzi do błędnych wniosków.

Plan działania: Kiedy jest idealny moment na pierwszą wizytę ciążową u ginekologa?
Zrozumienie, kiedy i jak potwierdzić ciążę, jest kluczowe dla spokoju i zdrowia przyszłej mamy. Oto mój rekomendowany plan działania:
- Test ciążowy z moczu: Wykonaj go w dniu spodziewanej miesiączki lub kilka dni po tym terminie, jeśli miesiączka się nie pojawi.
- Badanie beta-hCG z krwi: Jeśli test domowy jest pozytywny lub masz silne przeczucia, a chcesz mieć pewność jak najszybciej, wykonaj badanie krwi. Możesz je powtórzyć po 48-72 godzinach, aby sprawdzić dynamikę wzrostu hormonu.
- Pierwsza wizyta u ginekologa: Optymalny moment na pierwszą wizytę w celu potwierdzenia ciąży i wykonania USG to między 6. a 8. tygodniem ciąży, licząc od daty ostatniej miesiączki. W tym czasie lekarz będzie w stanie zobaczyć pęcherzyk ciążowy, zarodek i jego bijące serce, co pozwoli na pewne potwierdzenie ciąży i określenie jej wieku.
Istnieją jednak sytuacje, w których wcześniejszy kontakt z lekarzem jest absolutnie wskazany. Nie wahaj się umówić na wizytę, jeśli:
- Masz silny ból w podbrzuszu.
- Doświadczasz krwawienia (innego niż plamienie implantacyjne).
- Masz historię problemów z płodnością lub wcześniejszych poronień.
- Przyjmujesz leki, które mogą być szkodliwe w ciąży.
- Masz obawy dotyczące ciąży pozamacicznej.
